
Sarcina gemelară la 49 de ani
octombrie 22, 2025
FIV cu ovocite donate la 44 de ani
februarie 25, 2026Cred că cel puțin o dată pe săptămână primesc în cabinet replica: „Dl. doctor, să știți că noi am vrea să punem 2 embrioni! Eu și cu soțul am vrut întotdeauna gemeni!”.😊 Și apoi urmează o lungă discuție în care eu încerc să conving cei doi oameni din fața mea că nu ar fi bine să facă acest lucru.😬 Asta nu înseamnă că nu știu că, dacă un copil este ceva extraordinar, 2 copii înseamnă ceva fantastic! Gemenii înseamnă iubire la puterea a doua.😊 Bineînțeles că pricep asta, mai ales că se întâmplă să am și eu un frate geamăn. Dar argumentele mele sunt de natură medicală! Și le prezint absolut fiecărui cuplu cu care discut.
Dacă punem 2 embrioni de calitate bună în uter, cresc șansele de obținere a sarcinii, dar cresc și riscurile de sarcină gemelară! (Da, aici vine replica „Dar eu și cu soțul chiar ne dorim gemeni, v-am spus!”). De ce spun riscuri? Pentru că sarcina gemelară reprezintă cu siguranță riscuri crescute pentru mamă, dar și pentru copii. Aceste riscuri includ: rată crescută de avort, rată crescută de malformații congenitale, rată crescută de hipertensiune arterială gestațională și preeclampsie, rată crescută de naștere prematură, rată crescută de greutate mică la naștere. Ce înseamnă asta? Că de multe ori sarcina gemelară se termină cu o naștere prematură, care duce la 2 copii cu o greutate mică sau extrem de mică la naștere, care vor rămâne săptămâni întregi în spital și care pot avea o mulțime de probleme. Iar unii dintre ei nu supraviețuiesc.😢
Ca să nu mai vorbesc despre complicațiile caracteristice unei sarcini gemelare în care copiii împart același sac amniotic, cum ar fi sindromul transfuzor–transfuzat, care ridică probleme deosebite de management.
Și ca să nu mai vorbesc de faptul că sarcinile obținute prin FIV au un risc mai mare de sarcină gemelară monozigotică, adică acea situație specială în care un embrion se divide în uter și formează 2 copii. Și am avut în urmă cu mulți ani situații în care am pus 2 embrioni și s-au obținut tripleți. Iar dacă credeți că această situație este una fericită, vă înșelați! Este o tragedie, pentru că una dintre „soluțiile” terapeutice este reducția embrionară. Adică acea situație tragică în care cei 2 viitori părinți trebuie să aleagă pe care embrion să îl omoare, pentru a crește șansa la viață a celorlalți 2.😢
Dar haideți să vă povestesc un caz pe care l-am avut în urmă cu 2–3 ani. Au ajuns la mine după o perioadă de infertilitate de 2 ani. Doamna avea 24 de ani, fără probleme deosebite de sănătate:
- Ecografic, uterul arăta normal, ovare cu AFC 19;
- AMH de 2,1 ng/ml, restul analizelor hormonale în limite normale;
- Histeroscopia mi-a arătat un uter normal conformat, endometru cu aspect normal.
Domnul avea 29 de ani, fumător 2 pachete de țigări pe zi (și afirma că „nu putea” să se lase de fumat), fără operații sau boli în antecedente:
- La spermogramă: oligoastenoteratozoospermie cu 2% forme normale, 10% mobilitate a+b și o concentrație de 12 milioane spz/ml; indicele de fragmentare al ADN-ului spermatic 40%!
- Avea un varicocel, dar fusese deja la un medic urolog cu specializare în infertilitate masculină, care îi spusese că nu îi recomandă operația.
Discuția inițială s-a învârtit în jurul numărului de embrioni care va fi transferat în uter și, deși le-am prezentat toate datele descrise mai sus, nu au vrut să renunțe la ideea de a transfera 2 embrioni.🤦🏻
Am făcut o procedură de fertilizare in vitro pe protocol scurt cu antagoniști, am congelat 7 blastociști. În dimineața embriotransferului am mai luat o dată de la capăt toată discuția despre 1 sau 2 embrioni, de data asta și în prezența embriologului. Nu au vrut în ruptul capului să cedeze. Până la urmă, cuvântul final îl aveau ei, părinții. Ceea ce este normal, pentru că embrionii sunt proprietatea lor. Eu nu am cum să le impun câți embrioni să transfere, doar îi pot sfătui și pot spera că mă vor asculta.
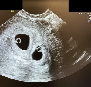
Zis și făcut: i-am rugat să completeze în plus, pe consimțământul informat, o frază prin care recunoșteau că li s-au explicat riscurile suplimentare și consecințele transferului de 2 embrioni și că și le asumă, și am transferat cei 2 embrioni. Iar peste 3 săptămâni am confirmat la ecografie sarcina gemelară.😊😬
Cei 2 viitori părinți s-au bucurat foarte mult. Și eu m-am bucurat, dar eram și îngrijorat despre ce se va întâmpla în continuare. Erau din provincie, așa că doamna și-a urmărit sarcina în orașul respectiv, dar ne-a ținut la curent și pe noi.
După câteva luni am aflat că doamna a născut 2 gemeni prin operație cezariană la 28 de săptămâni de sarcină, iar gemenii au fost transferați la un spital din București. Cu siguranță nu m-am bucurat că am avut dreptate… După alte câteva săptămâni, am primit un telefon de la mama gemenilor. Dânsa mi-a povestit cu multă supărare câte probleme au avut cu copiii, care erau în continuare internați pe secția de neonatologie. Iar conversația s-a terminat așa:
„– Dl. doctor, și până la urmă de ce credeți că am născut la 28 de săptămâni?”
Nu mi-a venit să cred că m-a întrebat acest lucru. I-am răspuns:
„– Doamnă… mai țineți minte discuțiile nesfârșite pe care le aveam când vă sfătuiam să nu punem 2 embrioni?”
Dânsa: „– Da, dl. doctor… deci ați avut dreptate… acum îmi pare rău că nu v-am ascultat…”
În încheiere, aș vrea să-i rog pe toți cei care intră în cabinetul meu să fie convinși că eu le spun ce este în interesul lor și ce este cel mai bine pentru ei și viitorii lor copii. Și să își adapteze speranțele și ideile cu care au intrat în cabinet în funcție de sfaturile mele.😊🤗



